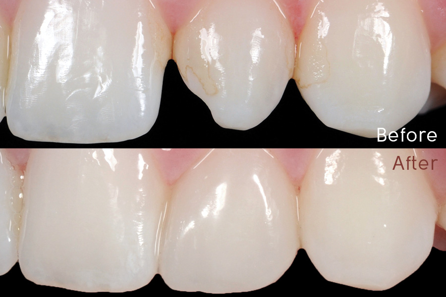
Composite restoration

Composite restoration

Composite restoration and its related services at NIR Multispecialty Dental Care:

1. Diagnosis and Evaluation:

  • Patients at NIR Multispecialty Dental Care who suspect they have a damaged or decayed tooth will undergo a thorough examination. The dentist will assess the extent of the damage, including cavities, cracks, or chips in the tooth.

2. Treatment Planning:

  • Based on the evaluation, the dental team at NIR Multispecialty Dental Care will create a personalized treatment plan. If composite restoration is deemed suitable, the dentist will discuss the procedure with the patient, including the expected outcomes and any alternatives.

3. Composite Restoration Procedure:

  • The actual composite restoration procedure involves several steps:
    • Anesthesia: To ensure the patient’s comfort during the procedure, local anesthesia is administered to numb the affected tooth and surrounding tissues.
    • Tooth Preparation: The dentist will remove any decayed or damaged parts of the tooth and prepare it for the bonding process.
    • Bonding: A tooth-colored composite resin material is applied in layers to the prepared tooth. Each layer is hardened using a special curing light, ensuring it bonds securely to the tooth.
    • Shaping and Polishing: After the composite material has been applied and hardened, the dentist will shape and polish it to resemble a natural tooth, ensuring a smooth and aesthetically pleasing result.

4. Benefits of Composite Restoration:

  • Composite restorations offer several advantages, such as a natural appearance, durability, and the ability to bond to the tooth, which can help strengthen it.
  • NIR Multispecialty Dental Care’s team will ensure that the restoration blends seamlessly with the patient’s natural teeth, providing both cosmetic and functional benefits.

5. Aftercare and Follow-Up:

  • After the composite restoration procedure, patients will receive instructions on how to care for their newly restored tooth, including maintaining good oral hygiene practices.
  • NIR Multispecialty Dental Care may schedule follow-up appointments to monitor the restoration’s integrity and make any necessary adjustments.

6. Comprehensive Dental Care:

  • NIR Multispecialty Dental Care is likely to offer a wide range of dental services beyond composite restoration, including preventive care, cosmetic dentistry, orthodontics, oral surgery, and more. They aim to provide comprehensive dental care to address various oral health needs.

In summary, composite restoration is a dental procedure offered at NIR Multispecialty Dental Care to repair damaged or decayed teeth using tooth-colored resin materials. Patients can expect personalized treatment plans, expert dental care, and a focus on both aesthetics and functionality when seeking composite restorations at this dental facility.

PROCEDURES

BEST MULTI-SPECIALTY DENTAL CLINIC

NIR Multispecialty Dental Care is one of the best multi-specialty dental clinic in Bangalore. NIR Dental assures its patients a holistic personalized dental experience through its trained team of dentists, dental experts, world-class dental equipment and technology and patient-centered treatment plans.

Testimonial

Client Feedback & Reviews

IndraShobha Thapa
IndraShobha Thapa
2023-08-17
Dr Victory is very experienced, supportive and always willing to go extra mile for her patients. I went here for root canal treatment and teeth cap. Treatment was smooth and the doctor is reachable for consultation even after the treatment was done. Highly recommend!
Devendra Singh
Devendra Singh
2023-08-17
I went to Nir clinic for teeth extraction and dentures.Dr Victory is very friendly and experienced. She explained the procedures before starting the treatment. She also explained about the prices before hand and let me choose what l wanted to do. Very happy with the overall treatment. Highly recommended!
Adarsh Mishra
Adarsh Mishra
2023-08-11
I went here for root canal and filing. The treatment went smoothly and the doctor was very skilled and supportive. She was always reachable and the prescribed medicines were very effective too.
Rahul Raj
Rahul Raj
2023-07-23
I had tooth extraction done recently and it was nearly painless. Dr. Victoria was very helpful and informative. I highly recommend!
Smitha Nayak
Smitha Nayak
2023-07-23
Dr. Victory is very good and experienced, not only for adults but kids too. She makes us feel comfortable. She explains us clearly what the problem is and gives all the probable options to solve it. After our first visit she has been our family dentist since past 5years..
Pande
Pande
2023-07-19
It was a nice experience to be treated by Dr Victory who is very friendly, polite ,practical and patient. I really appreciate her help and guidance related to teeth maintenance . I am satisfied with the dental service and will surely recommend it to others.
Nandita Kunti
Nandita Kunti
2023-07-13
I highly recommend NIR Dental Care. Their exceptional skills, attentive nature, and willingness to go the extra mile for their patients set them apart from the rest. If you are searching for a dentist who genuinely listens, provides the best solutions, and is always there for their patients, look no further. Your dental health will be in excellent hands with Dr. Victory.
Nagaraju Ch
Nagaraju Ch
2023-07-08
Its very nice experience. I have done the scaling, root canal and replace of the teeth. Overall im very happy with the treatment.
Venkata Jampala (Jv)
Venkata Jampala (Jv)
2023-06-10
Had very nice experience. Doctor explained everything in detail about the problem and gave good treatment.
Tushar Chaudhari
Tushar Chaudhari
2023-06-10
Dr Victory is very friendly and polite, I went for RCT, and got it done very nicely. I am satisfied with the dental service and will surely recommend it to others.